
Optic Neuritis: Symptoms, Causes & Treatment in Orange CountyExpert Eye Care from Orange County's Leading Specialists
Expert information about optic neuritis from Orange County's leading eye care specialists. Learn about symptoms, causes, diagnosis, and the latest treatment options.

Optic Neuritis: Symptoms, Causes & Treatment in Orange CountyExpert Eye Care from Orange County's Leading Specialists
Expert information about optic neuritis from Orange County's leading eye care specialists. Learn about symptoms, causes, diagnosis, and the latest treatment options.
Optic Neuritis — At a Glance
Severity & Type
When to See a Doctor
Schedule a comprehensive eye exam if you experience persistent symptoms.
Key Symptoms
- Pain with eye movement
- Temporary vision loss in one eye
- Loss of color vision
- Flashing lights
Treatment Options
- IV Steroids (Solu-Medrol)
- Oral Steroids (taper)
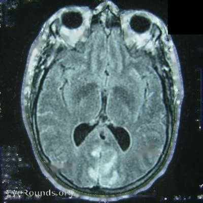
- MRI Imaging
- Neurology Referral
What is Optic Neuritis?
Optic neuritis is inflammation of the optic nerve. It can cause sudden vision loss and pain with eye movement. It is often the first sign of Multiple Sclerosis (MS).
At EyeCare Center of Orange County, we specialize in the diagnosis and treatment of optic neuritis. Our experienced optometrists use state-of-the-art technology to provide comprehensive care and help preserve your vision.
Common Symptoms of Optic Neuritis
If you're experiencing any of these symptoms, schedule a comprehensive eye examination:
Treatment Options for Optic Neuritis
We offer comprehensive treatment options tailored to your specific needs:
Clinical Images
High-resolution clinical photographs showing various presentations of optic neuritis.
Why Choose EyeCare Center of Orange County?
Over 30 Years of Experience
Dr. Alexander Bonakdar has been serving Orange County since 1991 with specialized expertise in neurological.
Advanced Diagnostic Technology
We utilize the latest equipment for accurate diagnosis and effective treatment of optic neuritis.
Personalized Treatment Plans
Every patient receives customized care based on their unique needs and condition severity.
Comprehensive Eye Care
From diagnosis to treatment and follow-up care, we provide complete support throughout your treatment journey.
Frequently Asked Questions
Does optic neuritis mean I have MS?
Not always. While it is a common early sign of MS, it can also be caused by infections or immune diseases.
Will my vision come back?
Yes, most patients recover significant vision within 3-5 weeks, even without treatment.
Why do I need an MRI?
An MRI of the brain helps determine your risk of developing Multiple Sclerosis.
Does insurance cover Optic Neuritis treatment?
Most vision and medical insurance plans cover diagnostic exams and medically necessary treatments. We accept most major insurance plans and can help verify your coverage before treatment.
Schedule Your Consultation
Get expert diagnosis and treatment for optic neuritis.
Find Optic Neuritis Treatment Near You
Don't Let Optic Neuritis Impact Your Vision
Schedule your comprehensive eye examination today and get expert diagnosis and treatment.