
Malignant Melanoma of the Choroid: Symptoms, Causes & Treatment in Orange CountyExpert Eye Care from Orange County's Leading Specialists
Expert information about malignant melanoma of the choroid from Orange County's leading eye care specialists. Learn about symptoms, causes, diagnosis, and the latest treatment options.

Malignant Melanoma of the Choroid: Symptoms, Causes & Treatment in Orange CountyExpert Eye Care from Orange County's Leading Specialists
Expert information about malignant melanoma of the choroid from Orange County's leading eye care specialists. Learn about symptoms, causes, diagnosis, and the latest treatment options.
Malignant Melanoma of the Choroid — At a Glance
Severity & Type
When to See a Doctor
Seek immediate care. This condition can cause permanent vision loss without urgent treatment.
Key Symptoms
- Can be asymptomatic, especially when small
- Blurred vision
- Flashes or floaters
- A blind spot that corresponds to the tumor's location
- A change in the color of the iris
Treatment Options
- Treatment depends on the size and location of the tumor.
- Options include radiation therapy (plaque brachytherapy), laser therapy, or in some cases, enucleation (removal of the eye).
- Early detection and treatment are vital.
What is Malignant Melanoma of the Choroid?
The most common primary intraocular malignancy in adults. It is a cancerous tumor arising from the pigment cells (melanocytes) of the choroid. It can spread (metastasize) to other parts of the body, most commonly the liver.
At EyeCare Center of Orange County, we specialize in the diagnosis and treatment of malignant melanoma of the choroid. Our experienced optometrists use state-of-the-art technology to provide comprehensive care and help preserve your vision.
Common Symptoms of Malignant Melanoma of the Choroid
If you're experiencing any of these symptoms, schedule a comprehensive eye examination:
Treatment Options for Malignant Melanoma of the Choroid
We offer comprehensive treatment options tailored to your specific needs:
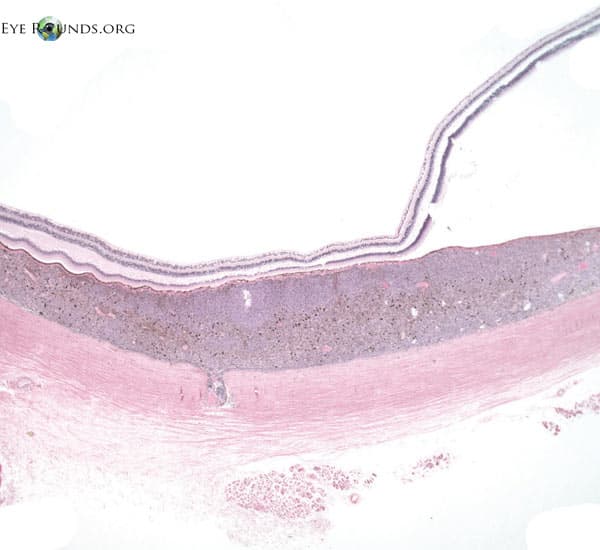
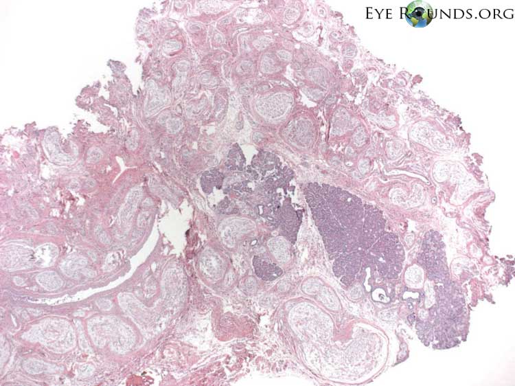
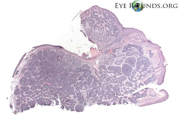
Clinical Images
High-resolution clinical photographs showing various presentations of malignant melanoma of the choroid.
Why Choose EyeCare Center of Orange County?
Over 30 Years of Experience
Dr. Alexander Bonakdar has been serving Orange County since 1991 with specialized expertise in retina.
Advanced Diagnostic Technology
We utilize the latest equipment for accurate diagnosis and effective treatment of malignant melanoma of the choroid.
Personalized Treatment Plans
Every patient receives customized care based on their unique needs and condition severity.
Comprehensive Eye Care
From diagnosis to treatment and follow-up care, we provide complete support throughout your treatment journey.
Frequently Asked Questions
What causes Malignant Melanoma of the Choroid?
Malignant Melanoma of the Choroid can be caused by various factors including genetics, age, environmental conditions, and underlying health issues. A comprehensive eye examination can help determine the specific cause in your case.
How is Malignant Melanoma of the Choroid diagnosed?
Diagnosis involves a thorough eye examination including vision tests, imaging, and specialized diagnostic procedures. Our advanced equipment allows for early detection and accurate diagnosis.
Is Malignant Melanoma of the Choroid preventable?
While not all cases are preventable, regular eye exams, protective eyewear, proper nutrition, and managing underlying health conditions can help reduce risk factors. Early detection through routine screenings is crucial.
Does insurance cover Malignant Melanoma of the Choroid treatment?
Most vision and medical insurance plans cover diagnostic exams and medically necessary treatments. We accept most major insurance plans and can help verify your coverage before treatment.
Schedule Your Consultation
Get expert diagnosis and treatment for malignant melanoma of the choroid.
Find Malignant Melanoma of the Choroid Treatment Near You
Don't Let Malignant Melanoma of the Choroid Impact Your Vision
Schedule your comprehensive eye examination today and get expert diagnosis and treatment.